您也可以拨打020-31100174客服热线
一、实验介绍
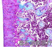
番红-固绿染色(软骨)在涉及关节软骨及软骨下骨的形态学研究中,常需联合使用多种染料以显示其组织学结构。其中,起源于上世纪60年代的番红O(safranin O)-固绿(fast green)染色因可以直观反映关节软骨、软骨下骨和骨组织的结构而备受青睐。软骨呈红色,成骨呈绿色。
二、特点及适用范围
三、石蜡切片番红固绿染色实验步骤
组织脱水-组织透明- 浸蜡-包埋-切片和烤片-切片脱蜡-固绿染色-番红染色-封片-镜检。
四、实验结果展示


五、送样运输要求:
样本放置于5倍样本体积的4%多聚甲醛固定液中固定24h以上,常温运输送样。切勿固定时间过长,切勿冷冻结冰。